
Thanks to NHS for YES for alerting us to this.
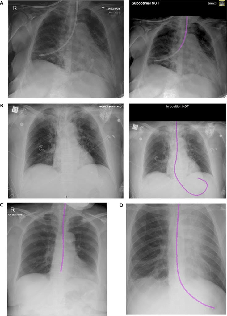
From a February 2026 peer-reviewed research paper on an AI tool for Nasogastric Tube Position, the above image and this disturbing conclusion:
Administration of food or medication through a misplaced nasogastric tube (NGT) constitutes a “never event” (defined by the National Health Service as a serious incident that is wholly preventable) in health care systems given the high likelihood of patient harm. Efforts to ensure adequate NGT positioning typically focus on increased education. Artificial intelligence (AI)–driven decision-support tools could address such challenges in a more streamlined manner, yet external validation studies in real-world settings remain scarce. Our objective was to evaluate the likely impact on patient safety from using an AI tool to detect NGT positioning on chest radiographs (CXRs).
‘The high occurrence of false-negative cases, which could potentially lead to preventable never events, suggests that this AI tool may be unsuitable as a primary decision-support system for NGT placement verification.’
Our NHS for YES source said – ‘I’m raising this because Labour are pushing it like hell and claim it can replace clinicians.’
Looking at UK Health Secretary Wes Streeting‘s impulsive visionary language below, I see their concerns.
In the Independent on 3 January 2025:
Health Secretary Wes Streeting said: “Trailblazing AI will be a catalyst for radically transforming our health service and ensuring patients receive world-class care. “We have already established a brand new working group to make sure new technologies reach the public faster – like AI for better NHS treatments and diagnosis as well as drones to deliver emergency supplies. Our AI Opportunities Action Plan will unlock the enormous potential of artificial intelligence across the UK, helping us to cut waiting times for patients and free up staff, as we deliver our Plan for Change to fix the NHS.”
https://www.independent.co.uk/news/uk/nhs-government-wes-streeting-data-westminster-b2690914.html
Later that year, 26 June, Healthcare Improvement Scotland announced:
People in Scotland are being encouraged to use trusted NHS websites and official sources for information on medication, rather than relying on answers generated by Artificial Intelligence (AI), which may be inaccurate or misleading. The message follows the publication of Citizens’ Panel 15, which gathered views from more than 560 people across Scotland on medicine safety, long-term conditions, and preconception care.
NHS Scotland and the Scottish Government are working to improve safety and reduce medicines-related harm. A total of 88% of respondents who took part in Healthcare Improvement Scotland’s latest Citizen’s Panel report say if they were to look online for more details about medicine, they would feel confident that information is reliable and up to date if it has NHS branding, such as the NHS logo.
Is there wider evidence that the Scottish Government is adopting a more cautious position than the UK Government?
Rhetoric and Guardrails: Scottish documents and statements (e.g., from Deputy First Minister Kate Forbes and strategy launches) repeatedly highlight “responsible” use, “challenging crossroads” for NHS integration, complexities around data protection/regulatory requirements, and the need for balance to avoid disruption. There is explicit advocacy for UK regulation that could align more closely with the EU AI Act (e.g., statutory footing for OECD principles and handling “systemic risk” models) due to market access concerns — a subtly more precautionary stance than the UK’s lighter-touch, sector-led “pro-innovation” approach. Scotland also maintains a public AI Register for transparency in public sector use.
Discover more from Talking-up Scotland
Subscribe to get the latest posts sent to your email.
